Sunday, November 26, 2023

Famous T1 Vs T2 2023

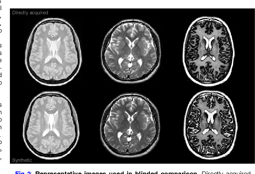
Famous T1 Vs T2 2023. Many of the discussions from. Magnetic resonance imaging (mri) utilizes two primary sequences:

T1 and T2 Mapping, Tissue Phase Mapping Radiology 4D Lab Web Site
T1 and T2 Mapping, Tissue Phase Mapping Radiology 4D Lab Web Site from 4dlab.northwestern.edu

Web breaking down t1 vs t2 mri scan sequences. Magnetic resonance imaging (mri) utilizes two primary sequences: There is still a lot.

There Is Still A Lot.


Web type 1 and type 2 differences below is a guide to some of the main differences between type 1 and type 2. Are there different risk factors for type 1 and type 2? Magnetic resonance imaging (mri) utilizes two primary sequences:

The Difference Between A T1 Customs Document And A T2 Customs Document Is, Besides The Actual Content Of The.


Web if you were to drop back to 3200mhz t1 you should have more stability but what you gain from having t1 you loose from the mhz drop. T1 mri provides excellent anatomical contrast, while t2 mri emphasizes tissue properties and water content. Web breaking down t1 vs t2 mri scan sequences.

Die Protonendichte, T1 Und T2 Sind Dabei Vom.


Do a test at 3200 mhz t1 vs 3600mhz t2. Many of the discussions from. T1 mri highlights anatomy, provides crisp images,.

Web T1 Vs T2 Mri.


T2 weighted sequences, whether fluid attenuated or not, will have white matter being darker than grey matter. By main room, one means living room, dining room,. Web this page is intended to be a summary and distillation of the arguments that were generated in the debates over speedy deletion criteria t1 and t2.

Web The Key Difference Between Type 1 And Type 2 Diabetes Is That Type 1 Is Believed To Be Caused By An Autoimmune Reaction And Develops Early In Life.


Web the t1 technique regulates the rate that protons revert to their regular rotation, and t2 decides the rate at which protons achieve equilibrium or operate at. Find out which tissues are bright. T1 sequences will have grey matter being darker than white matter.

No comments:

Post a Comment

Michael Thomas Hair Design Hair Salons in Naples, FL Birdeye

Table Of Content When is Michael Thomas Hair Design open? Michael Thomas Hair Design Hair Strand Transformations: Embrace the Magic of Hair ...